放射線科
放射線科ではCT、骨密度、X 線検査などの検査を最新の装置で行っています。
また、隣の施設の人間ドック会館クリニックにはMRI 検査も行っています。
当日検査も可能で、迅速に対応をしています。
医療連携で他の医療機関からも撮影の依頼を承っています。
機器紹介
一般撮影

- ・平面の撮影をします。
- ・骨折や病変が存在するかの検査時に使用します。
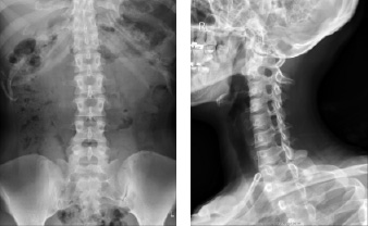
一般撮影の撮影画像

骨の画像

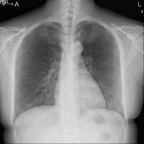
胸の画像
CT装置

- ・輪切りや色々な角度の3D 画像で人体の中を撮影出来ます。
- ・健診~精密検査まで幅広く使用します。
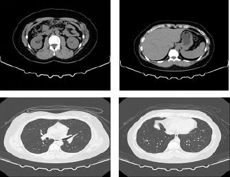
一般撮影の撮影画像

胸とお腹の輪切り画像

3D画像
全身用骨密度測定器

- 背骨と足と付け根の股関節の撮影を2 種類の強さの違う放射線で撮影して、骨の強さを計 算します。背骨と股関節は人体で最も大きく、骨折に深く関係する為より正確な骨密度測 定可能です。
MRI 装置

- 放射線を使用せず、磁力で撮影をします。
その為、被ばくはありません。
CT やX 線検査では見えづらい神経や靭帯などが良く見える検査です。
MRI 装置 写真 音が大きく時間がかかる検査です。(20 分~ 30 分)
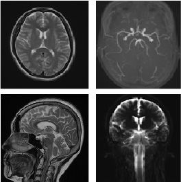
MRI 装置の撮影画像

頭の画像

膝や腰椎の画像
レントゲン撮影の必要性
体外からでは体内の何処にどの様な病変が有るかは、判断が出来ません。
そのため、レントゲン撮影を行い体内を透過して診ることにより臓器の形状をチェックし病巣の広がりなどを確認できます。
また、CT撮影装置は1cm以下の病巣まで描出可能となっています。
レントゲン検査は、病巣の早期発見、早期治療を行うために必要な検査となっています。
検査によって得られる利益と危険性を検討し、利益が高まると考えますので、レントゲン撮影を受けて頂きたいと考えます。
放射線被ばくとは
人体が放射線に晒されることを『放射線被ばく』と言います。
レントゲン撮影は、被ばくする検査となっています。
ただし、レントゲン撮影に使用される放射線量は少量のため数日たてば体の修復機能で回復します。
色々な放射線被ばく

MRI 撮影前の禁忌事項
| 心臓ペースメーカー | 人工内耳 |
|---|---|
|
胸部のふくらみを必ず確認してください。 |
![]() |
| 脳脊髄刺激電極 | 神経刺激装置 |
![]() |
![]() |
| 磁石式人工肛門(スマート) | 豊胸手術 |
MRI対応の人工肛門なら撮影可能です。 |
入っている物が撮影中に熱を持ったり、位置ずれを起こす恐れがある為、撮影できません。 |
| 美容整形後の金糸 | 避妊具 |
| 入っている物が撮影中に熱を持ったり、位置ずれを起こし美容整形が崩れてしまう恐れがある為、撮影できません。 | 入っている種類におより撮影可、不可が異なる為MRI室にお問い合わせ下さい。 例)ノバT→不可 ミレーナ→可 |
| 手術後の縫合糸 | 医療用ホッチキス(ステープラー針) |
| 入っている物が撮影中に熱を持ったり、位置ずれを起こす恐れがある為、撮影できません。 | ![]() |
| 増毛パウダー | 妊娠 |
| MRI装置が壊れた事例がある為、使用時は撮影が出来ません。 | 胎児や母体が安全であるという完全な確証がない為、撮影出来ません。 |
| 目などの決定臓器に金属が位置する強磁性体の破片 | VPシャント |
| 失明や臓器不全の恐れがありますので、撮影できません。 | MRI対応の物で、シャントの処置ができる脳外科医からの同意があれば撮影可能です。 ※脳外科医の了承は各自お願い致します |







